CDE Program

Achievements


Special Cases

Career Dental college lucknow

APICOECTOMY

Career Dental college lucknow

APICOECTOMY

Career Dental college lucknow

FRENECTOMY BY LASER

Career Dental college lucknow

FRENECTOMY BY LASER

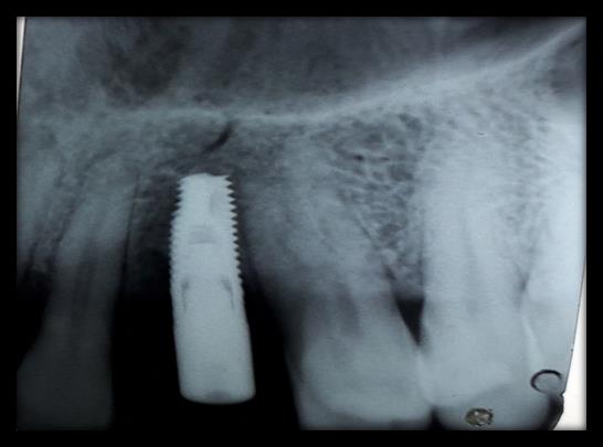
Career Dental college lucknow

IMPLANT PLACEMENT

Career Dental college lucknow

IMPLANT PLACEMENT

Career Dental college lucknow

SOCKET PRESERVATION

Career Dental college lucknow

SOCKET PRESERVATION